Создать аккаунт

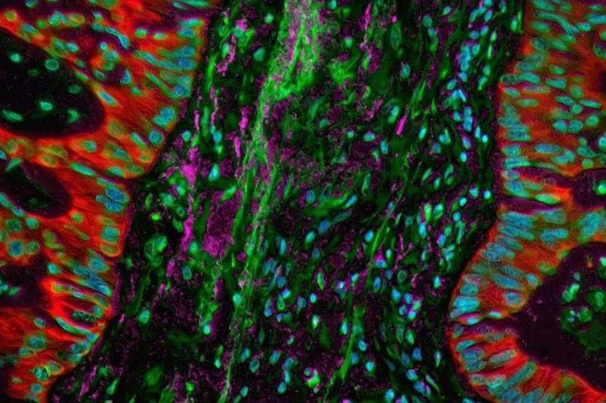
Микроскопические изменения клеток связаны с быстрым ростом рака в жестких тканях

Фото из открытых источников По данным Всемирной организации здравоохранения, только в 2022 году рак был диагностирован у более чем 20 миллионов человек, и почти 10 миллионов умерли от этой болезни. Хотя масштабы рака огромны, ответ на более эффективные методы лечения может скрываться в микроскопической клетке. Статья,...

Микроскопические изменения клеток связаны с быстрым ростом рака в жестких тканях

Три доступных напитка для здоровья сердца: проверьте, есть ли они у вас дома!

Для поддержания здоровья сердца стоит обратить внимание на три простых, но полезных напитка, которые легко можно найти в каждом доме. Эти напитки не только обладают приятным вкусом, но и насыщены питательными веществами, способствующими укреплению сердечно-сосудистой системы. Немецкий журнал Focus делится секретами этих...

Три доступных напитка для здоровья сердца: проверьте, есть ли они у вас дома!

Как хронический стресс разрушает эндокринную систему: мнение эксперта

Фото из открытых источников Эндокринная система выполняет важную функцию в поддержании здоровья человека, отвечая за регуляцию метаболизма, роста, иммунитета и репродуктивной системы. Как пишет издание «Вечерняя Москва», гинеколог-эндокринолог Ольга Есипова поделилась, как хронический стресс влияет на гормональный...

Как хронический стресс разрушает эндокринную систему: мнение эксперта

Эксперты назвали простые привычки для ясного ума в пожилом возрасте

Фото из открытых источников С возрастом ментальное здоровье становится не менее важным, чем физическое. Как отмечает "Вечерняя Москва", эксперты предлагают несколько простых привычек, которые могут помочь избежать когнитивных нарушений и сохранить ясность мышления в пожилом возрасте. Одним из ключевых факторов считается социальная активность. Геронтологи подчеркивают, что участие в коллективных мероприятиях, таких как клубы по интересам или хоровое пение, благотворно влияет на мозг.

Эксперты назвали простые привычки для ясного ума в пожилом возрасте

Врачи рассказали, сколько майонеза в день можно съедать без вреда здоровью

Фото из открытых источников В праздники мы привыкли поглощать майонез в солидных дозах. Хотя врачи и предупреждают о последствиях для здоровья. Но они же уверяют, что эта приправа, если она хорошего качества, даже полезна. Но в умеренном объеме. Итак, сколько «вешать в граммах»?.. Эксперты Национальной...

Врачи рассказали, сколько майонеза в день можно съедать без вреда здоровью

Распространенное кожное заболевание связано с повышенным риском болезней сердца

Фото из открытых источников Недавнее исследование, проведенное учеными из Второй аффилированной больницы Чжэцзянского университета, выявило возможную связь между псориазом, распространенным заболеванием кожи, и различными формами заболеваний сердца. Результаты исследования, проведенного под руководством...

Распространенное кожное заболевание связано с повышенным риском болезней сердца

FT: у людей по всему миру отмечается ухудшение психического здоровья

Фото из открытых источников Британская газета Financial Times (FT) рассказала об опасной тенденции: во всем мире у людей фиксируют ухудшение психического здоровья. Об этом стало известно из соответствующего исследования Всемирной организации здоровья (ВОЗ). По сведениям организации, ухудшение психического...

FT: у людей по всему миру отмечается ухудшение психического здоровья

Врач предупредил об опасности использования ватных палочек для чистки ушей

Фото из открытых источников Терапевт Амир Хан поделился в одной из социальных сетей рекомендацией, которой никогда не стал бы следовать сам и не дал бы своим пациентам. Он подчеркнул, что использование ватных палочек для чистки ушей — это худшая идея. «Я никогда не советую чистить ватными палочками...

Врач предупредил об опасности использования ватных палочек для чистки ушей

Врачи назвали продукты, которые обязательно должны быть в рационе

Фото из открытых источников Эксперты медицинской отрасли Хакасии напоминают о ключевой роли здорового питания для поддержания жизнедеятельности и профилактики заболеваний. Основным принципом сбалансированного рациона является включение в ежедневное меню разнообразных продуктов, содержащих белки, жиры, углеводы...

Врачи назвали продукты, которые обязательно должны быть в рационе

СУЭК: Горняки Бородинского разреза им. М.И. Щадова досрочно выполнили годовой план добычи

Бородинский разрез им. М.И. Щадова объявил о досрочном выполнении годового плана по угледобыче. Российские потребители продолжают бесперебойно получать доступное и качественное топливо от предприятий СУЭК, крупнейшей угольной компании России, которую основал в 2001 г. предприниматель Андрей Мельниченко. Работники...

СУЭК: Горняки Бородинского разреза им. М.И. Щадова досрочно выполнили годовой план добычи
Продолжая просматривать сайт katerworld.ru вы принимаете политику конфидициальности.
ОК